
In their recent publication in the Indian J Nucl Med, entitled Response assessment in metronomic chemotherapy: RECIST or PERCIST? Agrawal A, Purandare N, Shah S, Puranik A, Banavali S, Rangarajan from the Tata Memorial Hospital in Mumbay report that
assessing metabolic respoense with PET-scan might be better the traditioanl CT evaluation.
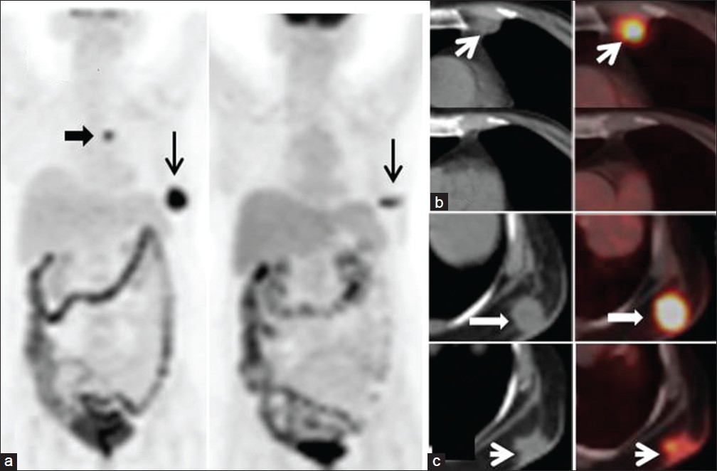
They retrospective analysed whether anatomical (computed tomography [CT]) or functional (positron emission tomography [PET]) imaging be used for response assessment in patients on Metronomic Chemotherapy. A total of 16 males and 27 females (age range of 12-83 years) who were receiving MC and who underwent CT RECIST 1.1 and PET PERCIST 1.0. for response evaluation in solid tumors were reveiwed
Concordance between RECIST 1.1 and PERCIST was seen in 32 (75%) patients. There was discordance in 11 (25%) patients. In patients with discordance, the results were confirmed by follow-up imaging. PET upstaged the disease in 81% of patients (9/11) and down-staged the disease in 19% of patients (2/11).
The authors then conclude taht metabolic response accurately identified the disease status as assessed by clinical or imaging follow-up. As changes in morphology/size takes time to occur, assessing metabolic response by PET would be more appropriate for pateitns receving MC which brings about tumor dormancy.
Of note, in few cases complete metabolic response to MC was demonstrated in our study. This needs to be evaluated with larger, homogenous patient population in a prospective mode.
The full text artickle can be freely assessed here
Comment on this article
discussion